Что делать, если зубы у ребенка растут в два ряда?
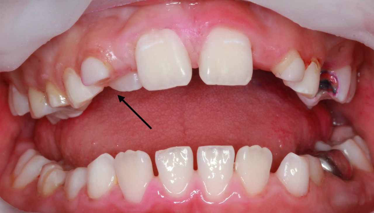
Молочный еще не выпал, а постоянный уже прорезался? Давайте разбираться! (Фото 1)
Не стоит переживать, так как это очень распространенная ситуация, которая легко решается в умелых руках специалиста.
Как в норме происходит сам процесс выпадения?
Как известно, молочный зуб является маяком для постоянного зуба, он бережет для него место и, выпадая, передает эстафету.
Зачаток постоянного зуба начинает расти и давить на корни молочного, отчего происходит его постепенное рассасывание. Зуб становится коротким, подвижным и выпадает, когда от него остается только коронка (часть зуба, расположенная над уровнем десны).
Почему зуб может не выпадать?
Коренной просто не помещается в зубном ряду, как следствие, молочный зуб некому растворить. Это может происходить по одной из причин:
- Постоянный зуб больше молочного по размеру.
- Ребенок не ест достаточно твердой пищи.
- Челюсти не успели вырасти и запастись местом.
- Узкая форма челюстей, передавшаяся по наследству.
- Вредные привычки, из-за которых деформировались челюсти (сосание пальца, соски, ротовое дыхание).
- Зачаток постоянного зуба находится в неправильном положении.
- Имеются сверхкомплектные зубы.
- Молочный зуб был удален раньше графика выпадения.
Определить причину, по которой у Вашего ребенка зубы растут вторым рядом, поможет доктор на консультации.
Что будет, если ничего не предпринимать, в ситуации, когда зубы прорезались в два ряда?
- Нарушение гигиены – по этой причине возможно образование кариеса на новом постоянном зубе. (фото 3)
- Неправильный прикус – из-за деформации зубных рядов.
- Нарушение дикции и пережевывания пищи.
- Травма мягких тканей губы, щеки или неба.
- Молочный выпадет, постоянный встанет на свое место.
Что делать, если коренной уже прорезался, а молочный не выпал?
- Записаться на прием к детскому стоматологу как можно скорее. Доктор всегда старается позволить зубу выпасть естественным путем, если ситуация позволяет.
- Тщательно следить за гигиеной полости рта, дочищать скученные зубки монопучковой щеткой и зубной нитью.
- Давать ребенку больше твердой пищи (если нет болезненных ощущений при откусывании и жевании).
Что может предпринять доктор?
Наблюдение, если молочный зуб может выпасть самостоятельно. Язык – сильный мышечный орган, под давлением которого коренной зуб может подвинуться на свое место.
Удаление, если:
- самостоятельное выпадение молочного зуба не произойдет,
- имеются болевые ощущения, ребенку трудно принимать пищу,
- десна воспалена, нарушена гигиена и есть риск разрушения постоянного зуба.
Консультация ортодонта, если зуб не занял нужного положения.
Что можно сделать, чтобы не попасть в такую ситуацию?
Разнообразный рацион ребенка
Обязательно должна присутствовать твердая пища, пережевывая ее, мышцы работают правильно, получают нагрузку, которая приводит к заветному росту костей. Рекомендуются такие продукты, как морковь, яблоки, орехи.
Лечение патологии ЛОР – органов
Своевременное лечение патологии ЛОР – органов. При нормальном носовом дыхании язык упирается в небо, активируя рост верхней челюсти. Если ребенок длительное время дышит ртом, небо не получает нужного давления – челюсть перестает расти.
Исправление вредных привычек
Исправление вредных привычек (сосание пальца, губы, соски). В этом Вам может помочь стоматолог - ортодонт или миофункциональный терапевт. Если этот пункт связан со стрессом, рекомендуется обратиться к детскому психологу или неврологу.
Профилактические осмотры
Посещение профилактических осмотров детского стоматолога 1 раз в 3 месяца позволяет контролировать формирование зубного ряда ребенка.
Если у Вашего ребенка растут зубы в два ряда – запишитесь на консультацию к детскому стоматологу как можно скорее, мы всегда рады Вам помочь!
Приглашаем вас и вашего ребёнка в стоматологическую клинику «Смелый Чиполлино», где лечение проходит в доброжелательной и спокойной атмосфере. Наши врачи используют современные методики и подходят к каждому малышу индивидуально. Для комфортного приёма применяем компьютерную анестезию, седацию и, при необходимости, наркоз. Мы делаем всё, чтобы визит к стоматологу оставался лёгким и безопасным.





