Реминерализация зубов как основа профилактики кариеса
Хотелось бы начать статью с разбора причин деминерализации зубов. Как выглядит этот процесс и по какой причине появляется.
Деминерализация — это патологический процесс, при котором ткани зуба, в частности эмаль, теряет минеральные компоненты. Вследствие этого она становится пористая, уязвимая для воздействия бактерий, кислот и механического фактора.
Соответственно, реминерализация — это процесс восстановления эмали, пропитывание тканей минералами.
По данным World Health Organization, реминерализация может предотвратить до 40% случаев начального кариеса.
Основные причины деминерализации:
- Отсутствие адекватной гигиены полости рта.
- Частое употребление сахара, что увеличит образование кислот. Пища должна быть богата минеральными веществами и витаминами.
- Уменьшение количества слюны, что в дальнейшем способствует повышению кислотности в полости рта.
- Низкий уровень фтора.
- Генетическая предрасположенность к нарушениям формирования эмали.
Как выглядит деминерализация или начальная стадия кариеса

Матовое белое пятно с шероховатой поверхностью. Если процесс не остановить, то пятно начинает темнеть.
Основа реминерализующей терапии — это использование паст со фторидами. После выполнения профессиональной гигиены у стоматолога проводится глубокое фторирование. Это способствует эффективному проникновению раствора в глубокие слои тканей зуба.
Показания к фторированию:
- Только прорезавшиеся зубы.
- Профилактика кариеса.
- При появлении кариеса в стадии белого пятна.
- При повышенной чувствительности зубов.
- Восстановление, укрепление эмали, уменьшение её чувствительности после снятия брекет-системы.
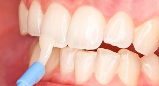
Этапы реминерализующей терапии:
- В начале пациенту проводят профессиональную гигиену полости рта. Убирают налёт и подготавливают эмаль.
- Высушивают эмаль.
- На зубы наносят специальный минеральный состав с помощью кисточки или специальной капы.
- Состав держится на зубах 5 - 20 минут, после чего удаляется.
После реминерализующей терапии или фторирования зубов рекомендовано не употреблять пищу и не пить в течение одного-двух часов.
Противопоказанием является только аллергическая реакция на отдельные компоненты состава реминерализующего средства.
Фторирование, по сути, похожая процедура, только основной элемент в составе реминерализующих препаратов — фтор.
Покрытие зубов фторгелем занимает совсем немного времени. Средство обволакивает зубы и высыхает в течение нескольких секунд.
Препараты для реминерализующей терапии могут быть в форме лака, пасты, геля, пенки. В них повышенное содержание необходимых активных соединений, за счёт этого и получается терапевтический эффект.
Реминерализующая терапия, действительно, очень эффективный метод по предотвращению кариеса на начальном этапе. Она способна возместить утрату минеральных веществ эмали, что способствует устойчивости эмали к воздействию кислот.
Это совершенно безболезненный и недорогой метод. Проводить реминерализующую терапию можно как взрослым пациентам, так и детям. Первая процедура может выполняться сразу после того, как прорезались первые молочные зубы.





