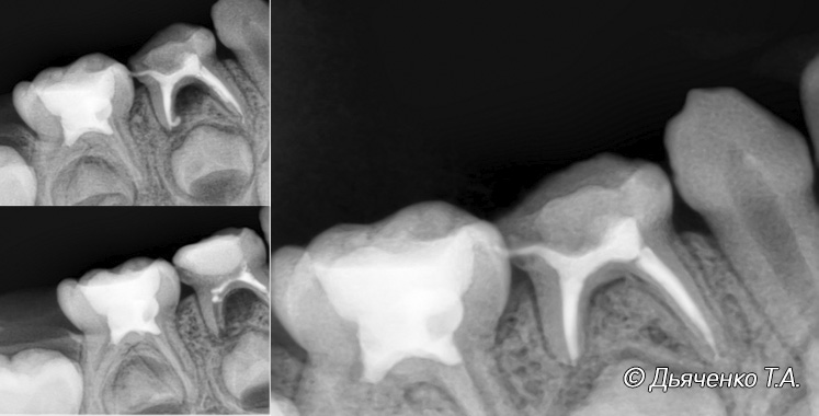
Периодонтит молочного зуба
К сожалению, частым осложнением не пролеченных молочных зубов является периодонтит.
Разберем более подробно причины возникновения данного диагноза, его проявление, симптомы и, конечно, варианты лечения, оказания помощи ребенку.
Вовремя не пролеченный кариес молочного зуба увеличивается, достигая пульпы, появляются жалобы на боль, развивается пульпит. Ребенок расскажет про болезненность от холодного, горячего, возникающую во время приема пищи, далее присоединяется ноющая, нестерпимая боль ночью и в течение дня от раздражителей. В этот момент малыш может стать плаксивым, просит обезболивающий препарат.
Если помощь ребенку не оказана, далее инфекция начинает распространяться из полости зуба в корневые каналы. Разрушается ткань сосудисто-нервного пучка (пульпы), воспаление при длительном течении приводит к отмиранию (некрозу) тканей. Все это может способствовать развитию периодонтита либо в хронической форме, либо острой в результате гнойного расплавления пульпы.
Хронический периодонтит
Это длительно существующий хронический воспалительный процесс в зубе и околозубных тканях.
Часто при таком развитии событий гнойный экссудат находит выход из зуба или околозубных тканей. Как пример — появление на десне у ребенка свищевого хода.
Так как инфекция даже при хроническом течении проникает в периодонт, чем длительней процесс, тем сильнее разрушение тканей. Возникает боль при накусывании на зуб, часто пульсирующая.
Хронический процесс редко сопровождается повышением температуры и отеком, и в то же время — это возможно при обострении процесса.
Острый периодонтит
Острый периодонтит возникает, когда скопившийся экссудат не находит выхода. Десна в области зуба краснеет и опухает. Может подняться температура тела. Ребенок плачет, отказывается от еды, нарушается сон и поведение малыша.
Необходимо срочное обращение к врачу-стоматологу для оказания лечебной помощи!
Длительный хронический периодонтит, острый периодонтит молочного зуба часто являются следствием обширного воспаления, ранней инфекционной резорбции корней молочных зубов более чем на ½. Все это является показанием к удалению таких зубов. При остром процессе удаление может быть сочетано, строго по назначению врача, с приемом медикаментозных препаратов (антибиотики, антигистаминные препараты и т.д.).
Основным лечением периодонтита молочного зуба является удаление. Необходимо защитить развивающийся зачаток постоянного зуба под ним от распространяющейся инфекции.
Конечно, иногда бывают случаи раннего обращения пациентов и их родителей с этой проблемой.
Если выявление периодонтита специалистом произошло на ранней стадии его развития и у ребенка хорошая кооперативность. Врач иногда может пролечить такой зуб, с условием строгого соблюдения профилактических-диагностических визитов для наблюдения за заживлением воспалительных процессов.
Заботьтесь о здоровье ваших детей и не допускайте развитие периодонтитов молочных зубов!





