Контактный кариес — скрытая угроза!
Одна из причин, почему каждому человеку необходимо регулярно с профилактической целью посещать врача-стоматолога, заключается в межзубных кариозных процессах.
Проблема в том, что они не всегда видны пациентам и даже стоматологам при обычном осмотре.
На рисунках 1 и 2 изображен межзубный, контактный кариес 26 зуба.
Процесс лечения межзубного, контактного кариеса 26 зуба показан на рисунках 3, 4 и 5.
Для того чтобы доктор обнаружил такой процесс, важно посещать врача, когда еще отсутствуют симптомы, нет видимой, ощутимой полости.
К сожалению, коварство таких кариесов в том, что человек начинает ощущать боль и замечать их, когда они достигают огромных размеров, а очень часто и пульпы (нерва), вызывая боль. Такая ситуация приводит к образованию воспалительных процессов, необходимости удаления пульпы, что, несомненно, удорожает лечение и снижает процент успеха.
Стоматолог на приеме проведет осмотр, многие врачи в клинике «Центр 7» работают с использованием увеличения: микроскоп, бинокуляры.
Также важна рентген-диагностика контактных пунктов Bite Wing (рис. 6 и 7). Это методика, когда, используя всего 2 рентгеновских (визиограф) снимка, мы можем просмотреть межзубные промежутки верхней и нижней челюсти с 2-х сторон.
Очень часто, особенно у подростков, ввиду низкой минерализации зубов, обнаруживается множество скрытых кариозных процессов между зубами на рентгеновских снимках.
Как видно на рис. 7, межзубные полости могут быть разного размера:
- Кариес в стадии пятна, при поражении только эмали и поверхностных слоев дентина (рис.$[ ]()8).
- Кариес средних и глубоких слоев дентина, более обширное поражение зуба (рис.$[ ]()8).
Как вылечить небольшие процессы стадии пятна? Очень часто плотное расположение зубов мешает не только лечению, но и обзору. Препарировать? Нет, слишком грубо. Наблюдать? Очень высока вероятность развития глубокого кариозного процесса через 4–6 месяцев.
Конечно, лечить! Предварительно обеспечив себе хороший обзор и доступ к контактному пункту.
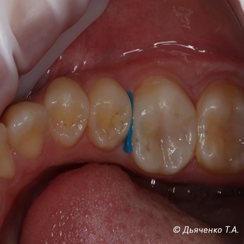
Пациенту ставиться межзубное сепарационное кольцо на 7 дней (рис. 9 и 10).
Через неделю кольцо убирается и контактный пункт раскрыт для лучшего обзора и лечения (рис. 11 и 12).
Бывают ситуации, когда рентгенологически я вижу кариес в стадии пятна между зубами, а после 7-дневной сепарации обнаруживается глубокий кариозный процесс — кариес дентина. (Рис. 13, 14).
В таком клиническом случае (рис. 14) лечение будет классическое, препарирование, очистка с последующим восстановлением фотокомпозитным материалом.
Профилактика появления кариозных полостей
Профилактика появления контактных кариозных полостей в домашних условиях включает использование для гигиены полости рта:
- Зубные нити, флоссеры;
- Ершики;
- Ирригатор;
- Монопучковая зубная щетка.
Индивидуальный подбор средств по уходу за полостью рта и зубами осуществляется нашими специалистами на стоматологическом приеме.
Берегите Ваше здоровье!





